MaxiloDental Studio Fusagasugá · Cundinamarca
Agenda tu valoración
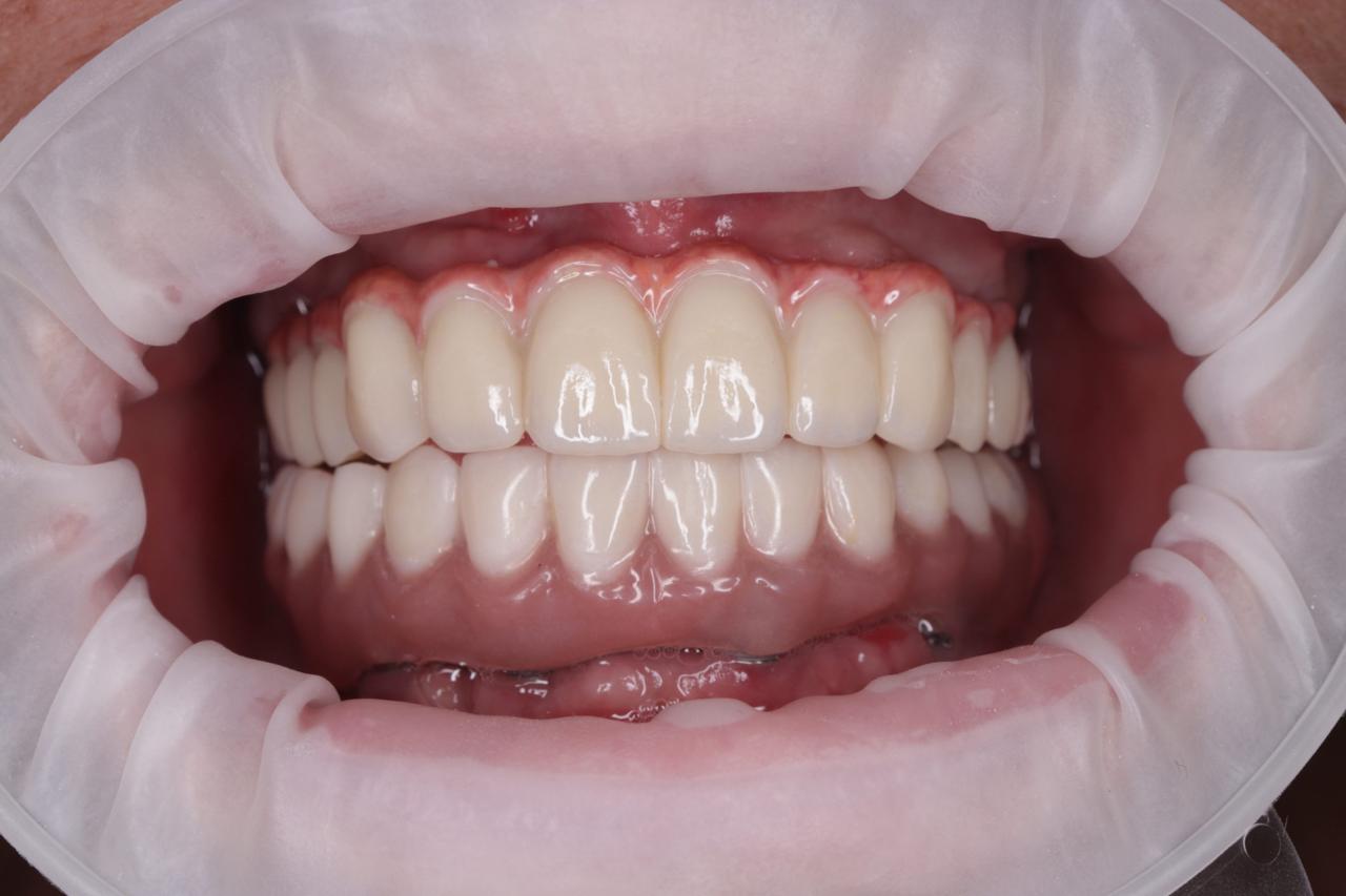
Casos clínicos Rehabilitación oral estética
Antes Después Pasa el cursor
Antes Después
01

Caso clínico: Rehabilitación de protesis hibrida

Paciente Paciente femenina, 34 años
Duración 3–5 meses

Se llevó a cabo una rehabilitación estética integral enfocada en devolver la armonía, proporción y naturalidad de la sonrisa. Mediante herramientas digitales se planificó el resultado final antes de iniciar el tratamiento, lo que permitió mayor precisión y previsibilidad. Las carillas cerámicas fueron diseñadas respetando la anatomía facial de la paciente, logrando un resultado natural, funcional y altamente estético. Posteriormente, se realizaron controles para garantizar la adaptación y estabilidad a largo plazo

Problema

Desgaste dental generalizado, manchas severas en esmalte y desalineación leve. La paciente presentaba inconformidad estética al sonreír, además de sensibilidad dental al frío y calor.

Tratamiento

Se realizó un enfoque multidisciplinario que incluyó: Diseño digital de sonrisa (DSD) Blanqueamiento dental previo Preparación mínimamente invasiva Colocación de carillas en cerámica Ajuste oclusal para estabilidad funcional

Proceso

Video del procedimiento clínico

WhatsApp